Docs were stunned when a man turned up at their hospital – with a TWO FOOT sex toy stuck up his backside.
It had been lodged there for 24 hours after becoming jammed during sexual gratification.
Try as he might the red-faced 31 year-old just couldn’t get it out – so turned up at A&E next day.

Baffled staff had to invent a new lasso-like tool to remove the dildo – that was 23 inches long.
And the grateful patient even wrote a thank you note for the consultants for solving his “embarrassing problem” without having to resort to surgery.
The gigantic rubber gadget just wouldn’t budge using standard methods because it was “too big and smooth”, said the Italian team.
The unnamed patient told medics at the ASST Great Metropolitan Hospital in Milan he had placed the device in his rectum the day before – and it was “not removable by hand.”
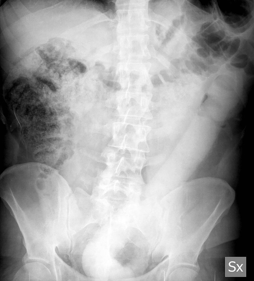
After complaining of mild abdominal pain an X-ray revealed the 23 inch (60cm) object in his colon and he was sent to the endoscopy unit where surgeons attempted to remove it.
Writing in BMJ Case Reports, Dr Lorenzo Dioscoridi and colleagues said: “Several standard attempts with different extraction devices were made.”
A 50mm polypectomy’s snare – a wire loop device used to chop off abnormal tissue growths called polyps – was also ineffective.
Dr Dioscoridi and colleagues said the technique didn’t work because of the “rigidity, the smoothness and the large size of the foreign body.”
Forceps and a wire-guided dilation balloon – another common method – failed because of the “hard consistence” of the dildo.
Usually, surgery is the only remaining option to remove foreign bodies that are stuck. But the new technique may change that.
The medics eventually built a ‘home-made’ snare – designed to hook onto the dildo and drag it back out of the man’s rectum.
They said: “‘We finally succeeded in the endoscopic extraction of the device – catching the distal edge of the dildo with this guidewire lasso.
“This device showed a technical advantage as compared with ordinary polypectomy snares, due to its much higher stiffness.”
This made it possible to detach the colonic wall from the dildo and “effectively pull the object.”
The medics said the new technique may be a “valid option” to remove large foreign bodies from the colon and rectum when standard methods for extraction fail.
The patient was allowed home on the same day of the procedure. He reported no lasting symptoms a month later.
There are a range of sexual toys designed specifically for the anus of men and women available on the market.

This is because the anus is much more sensitive and requires smoother objects to enter it for stimulation.
All objects designed for anal sex also have a flared base which prevents it from ever getting sucked inside by the anus’ very strong muscles.
But people have long experimented with different objects in their anus – which risk their health.
Doctors say anal masturbation with appropriate toys or fingers is fine – but other objects can tear tissue and lead to a perforated colon or incontinence.
Last year a British man perforated his bowel after inserting an “unusually large” 30 inch (77cm) dildo in his anus.
The patient used the bendy object for sexual gratification when he was drunk, according to the same journal.
Doctors at the Northern Lincolnshire and Goole NHS Foundation Trust revealed he “lost control” of the toy because he was drunk.
